한관종 발생원인, 특징 및 비립종과 감별하기
한관종은 주로 눈밑에 발생하며, 피부의 진피층에 있는 땀을 분비하는 관이 비정상적으로 늘어나 나타납니다. 1~3mm 크기의 피부색 또는 황색의 작은 구진들이 오돌토돌 올라와 개구리알처럼 보이는 게 특징입니다.



한관종을 비립종이나, 사마귀, 쥐젖, 피지선 증식증과 헷갈려하시는 분들이 많습니다. 각 질환별 발생하는 원인이 다르고, 조직학적 특징이 다르기 때문에 효과적인 치료법이 질환별로 다르며, 감별진단이 중요합니다.



* 한관종 : 피부 진피층의 땀을 분비하는 관이 늘어나 발생, 오돌토돌 개구리알처럼 뭉쳐있는 것이 특징
* 비립종 : 피부의 가장 표층에 각질이 뭉쳐서 발생
* 피지선 증식증 : 피지선이 비정상적으로 늘어나 발생, 가운데가 음푹 파인 도넛츠 모양 특징
피지선 증식증은 이전 포스팅을 참고해주세요 :)
피지선 증식, 피지선 증식증, 치료, 제거, 레이저, 아그네스 레이저, CO2 레이저 [피부과전문의]
피지선 증식증이란? 피지선증식증은 (sebaceous hyperplasia) 질환명 그대로 (피지선 + 증식된 상태) 로 피부의 피지선이 비정상적으로 늘어나 주로 얼굴에 오돌토돌 나타나게 되는 질환입니다. 주로
dderm.tistory.com
한관종 재발 낮은 효과적인 치료법
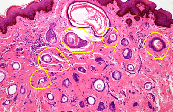
한관종의 치료는 단순한 점, 쥐젖 제거처럼 간단하지 않습니다. 그 이유는 한관종의 조직학적 특징을 보면 알 수 있습니다.

노랗게 동그라미 표시해놓은 게, 진피층에 비정상적으로 늘어난 땀샘 조직들입니다. 위와 같이 피부 깊숙히 진피층에 위치해 있는 여러 덩어리의 늘어난 땀샘관을 제거해야 하기 때문에 치료가 단순하지 않습니다. 즉 1회성의 레이저 치료로 끝나지 않고, 일정 기간을 가지고 반복적인 레이저 치료가 필요하게 됩니다.
이와는 반대로 비립종이나 사마귀는 한관종에 비해 피부 얕은 층에 위치하고 단발성으로 존재하기 때문에 비교적 치료가 간단합니다.
한관종의 가장 대표적인 레이저 치료 방식은 CO2 레이저를 이용한 핀홀 요법, 그리고 아그네스를 이용한 치료 방식이 있습니다. 또한 CO2 레이저와 아그네스 레이저를 병행하는 복합치료도 많이 하고 있으며, 치료 간격은 보통 1-2달 간격으로 3-5회 가량 치료하고 있습니다.
CO2 레이저와 아그네스 복합치료는 효과 뿐 아니라, 흉터를 최소화 할 수 있으며 재발률을 낮추는 장점이 있습니다. 먼저 CO2 레이저를 이용해 한관종의 윗부분에 작은 구멍을 여러개 만들어 줍니다. 이렇게 생긴 작은 구멍에 아그네스라는 미세침고주파를 이용하여 피부 깊숙이 위치한 진피층까지 열에너지를 전달할 수 있습니다.
레이저 치료 후에는 주위가 붓고, 붉어질 수 있으며 딱지가 생깁니다. 대부분 1-2주 내에 호전되며 이 때 발생한 딱지는 그대로 두고 안연고를 발라주면서 관리하면 됩니다.
한관종 실비 적용 여부
한관종은 미용 목적으로 제거하는 피부 질환으로, 비립종, 쥐젖, 편평사마귀 등과 마찬가지로 실비 적용이 되지 않는 비보험 항목입니다.
맺음말
얼굴, 특히 눈밑에 흔히 생길 수 있는 한관종에 대해서 알아보았습니다. 얼굴에 잘 생기는 비립종, 피지선증식증, 쥐젖, 편평사마귀와 감별할 줄 알아야 하며, 재발을 낮추고 흉터를 최소화하기 위해서는 올바른 레이저 치료가 필요합니다. 이번 포스팅도 도움이 되셨으면 좋겠습니다. 감사합니다. 덤덤 :)
'피부과전문의와 알아보는 피부의 모든것 > 피부질환' 카테고리의 다른 글
| 입술 옆 찢어짐, 입가 찢어짐, 구석입술염, 각입술염, 구순염 원인, 치료, 예방 이것만은 알고 가세요 !! [피부과전문의] (17) | 2024.01.27 |
|---|---|
| 발톱무좀 레이저 치료 효과, 비용, 실비, 가격 핵심정리 [피부과전문의] (6) | 2024.01.26 |
| 동창, 동상 차이, 증상, 치료, 주의사항, 예방법 핵심정리 [피부과전문의] (0) | 2024.01.24 |
| 입주변 트러블 '입주위 피부염' 핵심정리 [피부과전문의] (1) | 2024.01.23 |
| 발톱무좀약 주블리아 효과, 사용법, 가격, 후기, 처방, 실비, 보험 핵심정리 [피부과전문의] (14) | 2024.01.22 |
